– Vi erstattet kjeven med en del av leggbeinet

Noen får trukket tennene før de skal strålebehandles. Noen får fjernet kjeven. Og noen får en ny. Oralkirurg Johanna Berstad har sett mange skjebner.
– Ofte er det tannlegene som oppdager tegn på kreft i munnhulen, forteller oralkirurg Johanna Berstad.
Hun leder tann- og kjeveenheten på Øre-nese-hals-avdelingen på Oslo universitetssykehus Rikshospitalet.
– Vi på tann- og kjeveenheten er involvert før, under og etter behandling av kreft i hode- og halsområdet, forteller Berstad.
I Norge fikk 782 en slik diagnose i 2016, ifølge Kreftforeningen. Flertallet var menn. Antallet nye tilfeller er svakt stigende.
Kreft i hode og hals kan oppstå i strupehodet, leppene og munnhulen, i svelget, nesen og bihulene eller i spyttkjertlene.
– Rundt 5000 personer lever med kreft i hode- og halsområdet, opplyser Berstad.
Må trekke infiserte tenner
Øre-nese-hals-kirurgene er hovedansvarlige ved eventuelle kirurgiske inngrep.
– Vi bistår når tenner og kjever er involvert i svulsten, forteller Berstad.
Munnhulen er området fra leppene og bak til fremre ganebue.
Mange pasienter blir kun behandlet med cellegift og stråling.
– Noen må fjerne mange tenner før de skal ha strålebehandling, forteller hun.
Det gjelder særlig for dem som ikke har vært hos tannlegen på mange år.
– Infiserte tenner må vi trekke før behandling, særlig stråling. Etterpå er det nemlig vanskelig, fordi det kan føre til problemer med tilhelingen.
(Saken fortsetter under bildet.)

Åpent inn til kjevebeinet
En senskade etter strålebehandling er osteoradionekrose.
– Kjevebeinet kan da bli blottet. Dette er en sjelden, men alvorlig komplikasjon. Det kan være svært smertefullt og innebære omfattende kirurgiske inngrep. Særlig underkjeven er utsatt.
Osteoradionekrose kan oppstå flere år etter strålebehandlingen, fordi blant annet blodårene i bløtvevet og bensubstansen er blitt skadet.
– Vi har pasienter med osteoradionekrose som har gått her i årevis. Noen får så store komplikasjoner at vi må fjerne kjeven deres.
Turi Tingelholm (les portrettet her) er et eksempel på det.
Kreftpasientene som har hatt strålebehandling, kan ha nytte av hyperbar oksygenbehandling (HBO) i trykkammer på Haukeland universitetssykehus i Bergen.
– Hensikten er å øke blodsirkulasjonen i det bestrålte vevet så sårtilhelingen går bedre, sier Berstad.
Produserer mindre spytt
Munntørrhet er en typisk plage for dem som har hatt kreftbehandling.
– De har ikke lenger den smørende effekten av spyttet. En del mister også smakssansen, får såre slimhinner og økt risiko for infeksjoner, som karies. Dette kan føre til spiseproblemer og talevansker.
For å forebygge mot karies anbefales pasientene å skylle med fluor.
Normalt produserer man mellom 0,7 og 1,5 liter spytt i løpet av et døgn.
– Mange av disse pasientene har lite eller ingen spyttsekresjon. Å drikke vann ofte kan lindre noe av munntørrheten. Noen går alltid rundt med en vannflaske, forteller Berstad.
Sukkerfrie sugetabletter som frigir fukt, kan hjelpe noen.
Med munntørrhet og redusert tyggefunksjon blir det vanskelig å få i seg mat.
– Å drikke ernæringsdrikk hver dag er utfordrende for mange, det smaker ikke godt. Noen får også sondeernæring eller har innlagt peg.
Som altså er perkutan endoskopisk gastrostomi, en metode for å tilføre sondemat direkte inn i magesekken.
– Men det er likevel viktig med munnstell, understreker hun.
Laget kjeve av leggbeinet
Tobakk og alkohol kan disponere for kreft i munnhule og svelg. Hos noen få er hpv (humant papillomavirus) årsaken til slik kreft.
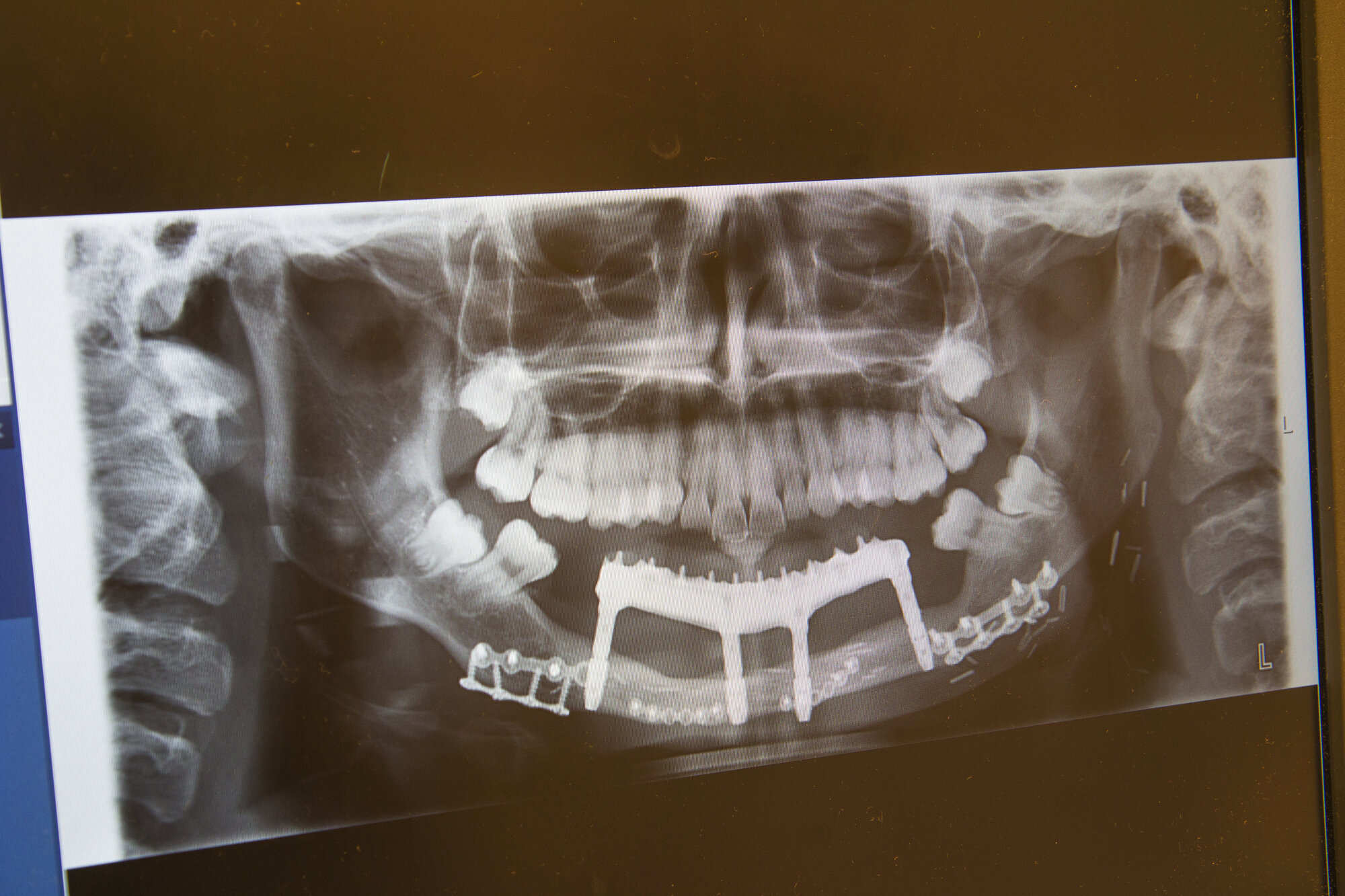
I sjeldne tilfeller rammes barn av beinkreft. På pc-en viser Berstad et røntgenbilde av en tolv år gammel pasient som fikk osteosarkom i underkjeven.
– Tolvåringen, som etter hvert skulle begynne på ungdomsskolen, kunne ikke gå rundt tannløs. Da er det fint å være del av et høyspesialisert sykehus med mange dedikerte spesialister. Alle sto på for å hjelpe. Tumoren og hele kjeven med tenner ble fjernet. Kjeven ble erstattet av en del av leggbeinet (fibula).
I en tolvtimersoperasjon ble både kreften fjernet og ny kjeve rekonstruert. Et svært team var involvert.
Berstad var med på å forme den ny kjeven av leggbeinet. I en senere operasjon satte hun inn fire implantater som ble skrudd ned i kjeven. Hver skrue er en slags kunstig tannrot. Når dette har grodd, skrus tennene fast i implantatene.
(Saken fortsetter under bildet.)

– Hvordan gikk det med leggen etter at det ble fjernet bein?
– Fint. Man greier seg fint uten en god del av leggbeinet, forteller oralkirurgen.
Pasienten er blitt 18 år og klarer seg bra.
– Må finne tannlege på hjemstedet
Berstad understreker at munnstell og oppfølging av tannlege og tannpleier er svært viktig for disse pasientene.
– Vi har ikke kapasitet til å følge dem opp, så det må etableres kontakt med tannlege på hjemstedet. Dette kan hjemmesykepleiere hjelpe med, mener hun.
De som har hjemmesykepleier, har rettigheter i den offentlige tannhelsetjenesten.
– Men den har ikke spesialister, og vanlige tannleger har ofte ikke den kompetansen som skal til for å følge opp kreftpasienter.
Det varierer fra fylke til fylke om det er det offentlige eller private som skal følge opp.
– At folk blir forvirret, skjønner jeg godt, sier Johanna Berstad.
LES OGSÅ: Fjernet halve kjeven etter stråleskader

































0 Kommentarer