En høy pris for et lite uhell

Fall blant eldre koster både den enkelte og samfunnet dyrt. Som oftest settes det først i gang tiltak når uhellet allerede har skjedd.
Det mangler sannelig ikke på innsikt og gode intensjoner. Hadde det vært opp til myndighetene, ville de fleste av oss levd lenger, fordi vi hadde latt være å snuble i trappa, skli på badet eller tryne på isen. Faktisk har myndighetene bestemt at det skal jobbes aktivt med å forebygge fall. Det er bare det at eldre faller likevel.
Hjelper ikke
Det er forskjellige årsaker til at økt kunnskap om fall alene ikke hjelper. Den handler om demografien vår: Selv om vi lever stadig lenger, og helsetilstanden hos eldre stadig blir bedre, øker samtidig antallet eldre som statistisk sett både snubler, sklir og faller.
Det er også andre årsaker. Når antallet eldre i samfunnet øker, øker også antallet medisinske diagnoser og medisinbruken. Det blir mange piller, enten man nå bor hjemme eller på sykehjem. Eldre pasienter slipper å dø av påløpt sykdom, fordi mer effektive medisiner holder dem i sjakk. Men pillene gjør dem samtidig sløve, søvnige og, ja, falleferdige.
Akselererende forløp
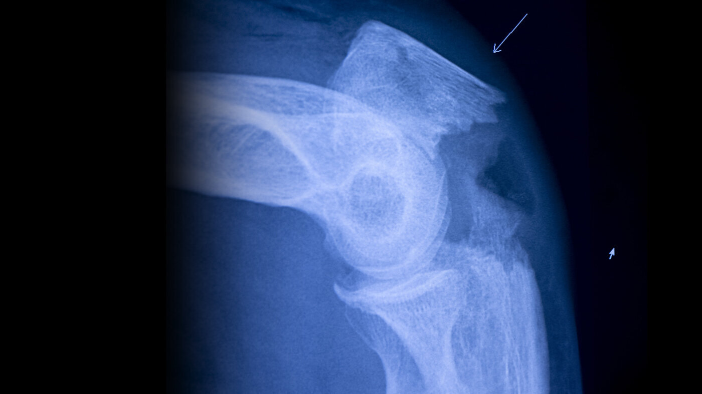
Fall koster samfunnet enorme summer i form av innleggelser og rehabiliteringstiltak. Det er et pengesluk uten like. Fall er som regel ikke en enkelthendelse, men starten på et alvorlig pasientforløp i akselererende tempo.
Fall fører til immobilitet og forverret allmenntilstand, som igjen kan føre til flere fall eller andre alvorlige komplikasjoner. Kostnadsmessig er det som en snøball som begynner å rulle, og som vokser i omfang for hver omdreining.
Men først og fremst betyr fall betydelig nedsatt livskvalitet hos eldre og risiko for en hurtig nedadgående spiral med tanke på kommende helseutfordringer.
Lønnsom forebygging
Forskningen er ganske entydig, og etter hvert vet vi også hvordan vi effektivt kan forebygge fall. Fysisk aktivitet, inntak av vitamin D, fall-trening og reduksjon av legemiddelinntaket er en god start. Å identifisere pasienter i risikosonen og gi dem ekstra oppfølging er også gode tiltak.
Paradoksalt nok, tatt i betraktning myndighetenes ambisjoner, settes det oftest først i gang tiltak når fallet er et faktum. Skal tallene ned, må mange parter i miljøet rundt eldre pasienter samarbeide proaktivt om tiltak.
Sykepleiere har en nøkkelrolle her, fordi de ofte har god oversikt over pasientenes utfordringer og dessuten deler ut medisiner til vedkommende. Arbeidet må prioriteres av sykepleierledere, selv om den langsiktige gevinsten ofte er vanskelig å få øye på i et årsbudsjett.
Polstring
Forebygging er ikke uten etiske utfordringer. Vi kan ikke polstre alle eldre med puter på rumpa for at de skal unngå å brekke lårhalsen når de faller. Vi kan ikke ha sensorer overalt som piper når de møter en utfordrende situasjon. Og vi kan heller ikke nekte eldre å drikke et glass rødvin for mye, legge ut på for krevende turer i nabolaget eller tvinge dem til å gå på judo for å lære seg å falle.
Skjellsettende
Det vi derimot kan, er å øke bevisstheten om hvor skjellsettende et enkelt fall kan være. For et fall er ikke bare et uhell. For mange eldre pasienter kan det være starten på en katastrofe. Kan sykepleiere være med på å avverge eller utsette det første fallet, eller det andre, er det verdt mer enn summen av alle lege- og sykehusbesøkene til sammen.
































0 Kommentarer